Denti Affollati
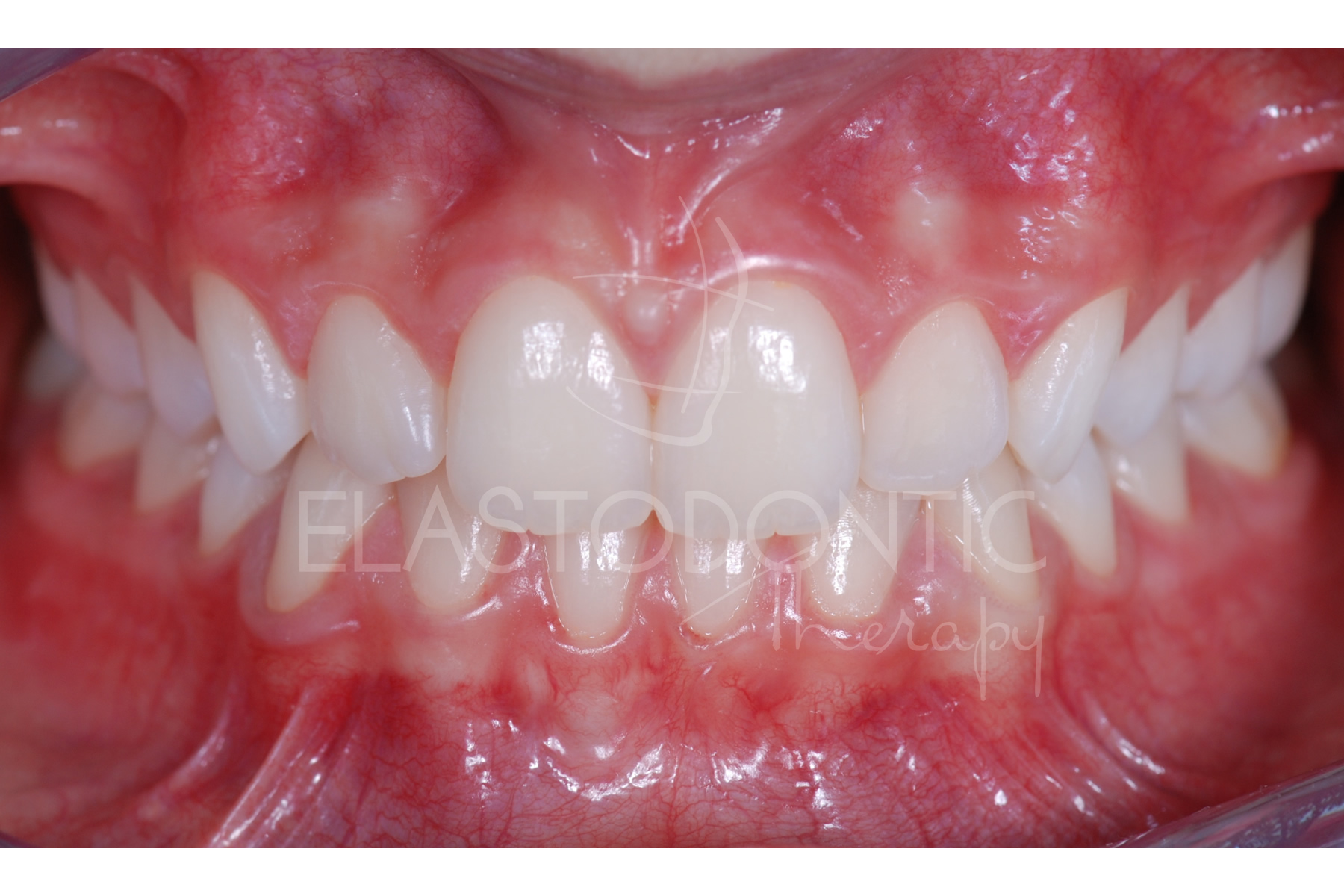
Paziente di 9 anni.
Affollamento arcata inferiore.
Trauma occlusale.
Danno parodontale.
L'Elastodontic Therapy® iniziata all'età di 9 anni, ha permesso di correggere la malocclusione in pochissimi mesi con l'ausilio di un SOLO apparecchio elastodontico e cosa importante senza ricorrere ad estrazioni che avrebbero compromesso il risultato estetico della terapia.
La stabilità nel tempo è garantita dal raggiungimento di un ottimo rapporto occlusale fisiologico e biologicamente determinato.








