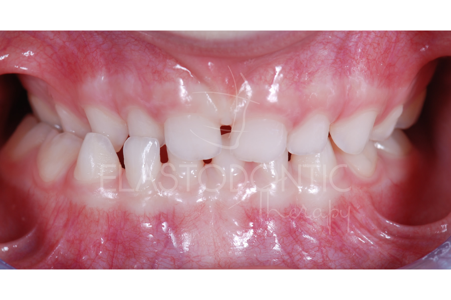
Morso Incrociato Monolaterale
Paziente di 3,5 anni
Gli elementi dentali superiori cadono all'interno degli inferiori sul lato Dx , morso incrociato monolaterale.
Palato stretto.
Respirazione orale.
L'ElastodonticTherapy® all'età di 3,5 anni è determinante per favorire una crescita armoniosa dellle strutture scheletriche e per favorire una regolare eruzione dei denti permanenti su basi ossee proporzionate.
Il brevissimo tempo di cura e la buona collaborazione del paziente rendono la terapia straordinariamente efficace e nello stesso tempo, poichè la situazione occlusale del paziente viene subito migliorata, la collaborazione dello stesso sarà sempre favorevole.






