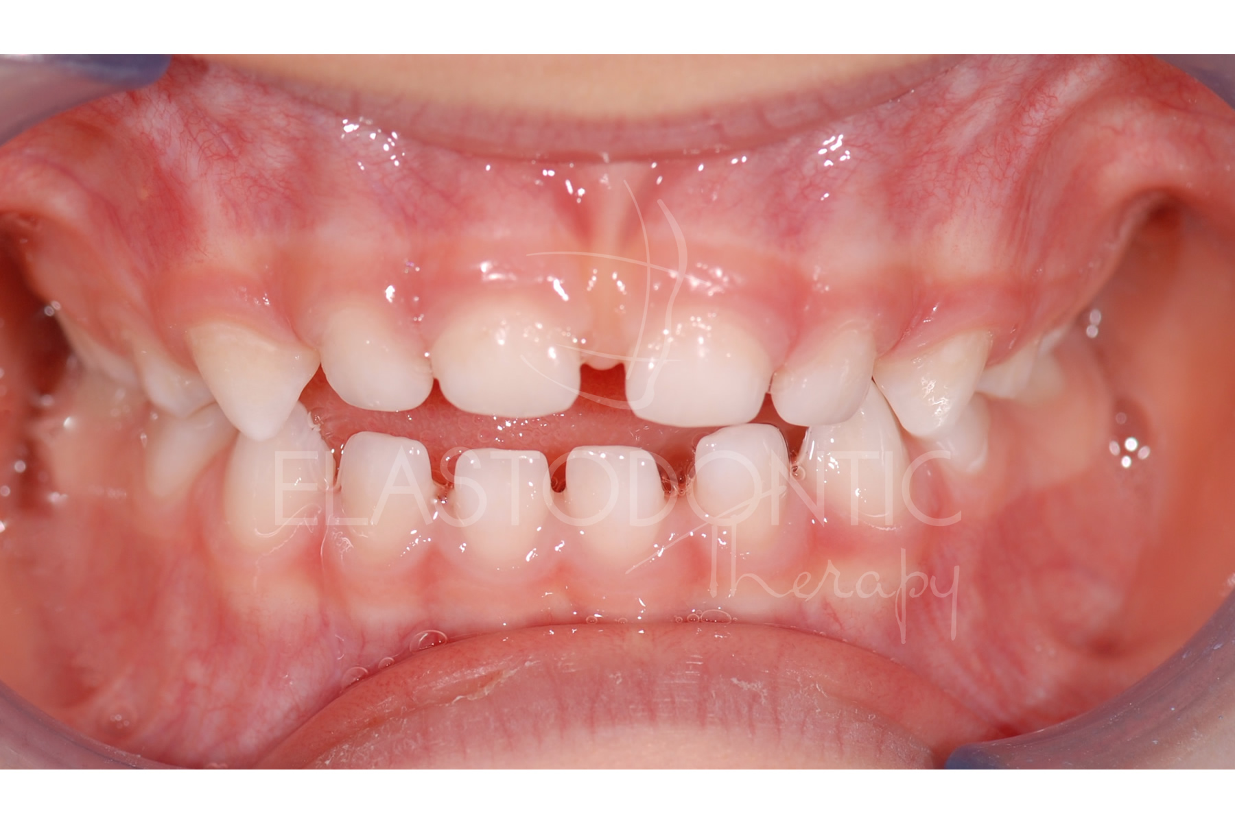
Morso Aperto Anteriore ( succhiamento protratto del dito )
Paziente di 3 anni.
Assenza di contatto occlusale, beanza tra incisivi sup ed inf quindi morso aperto anteriore ( open bite ).
Succhiamento protratto del dito a cui fa seguito una alterata postura linguale ed ipotono della muscolatura periorale.
Respirazione orale.
Presenza di raffreddori ricorrenti a seguito di una riduzione delle vie aeree superiori.
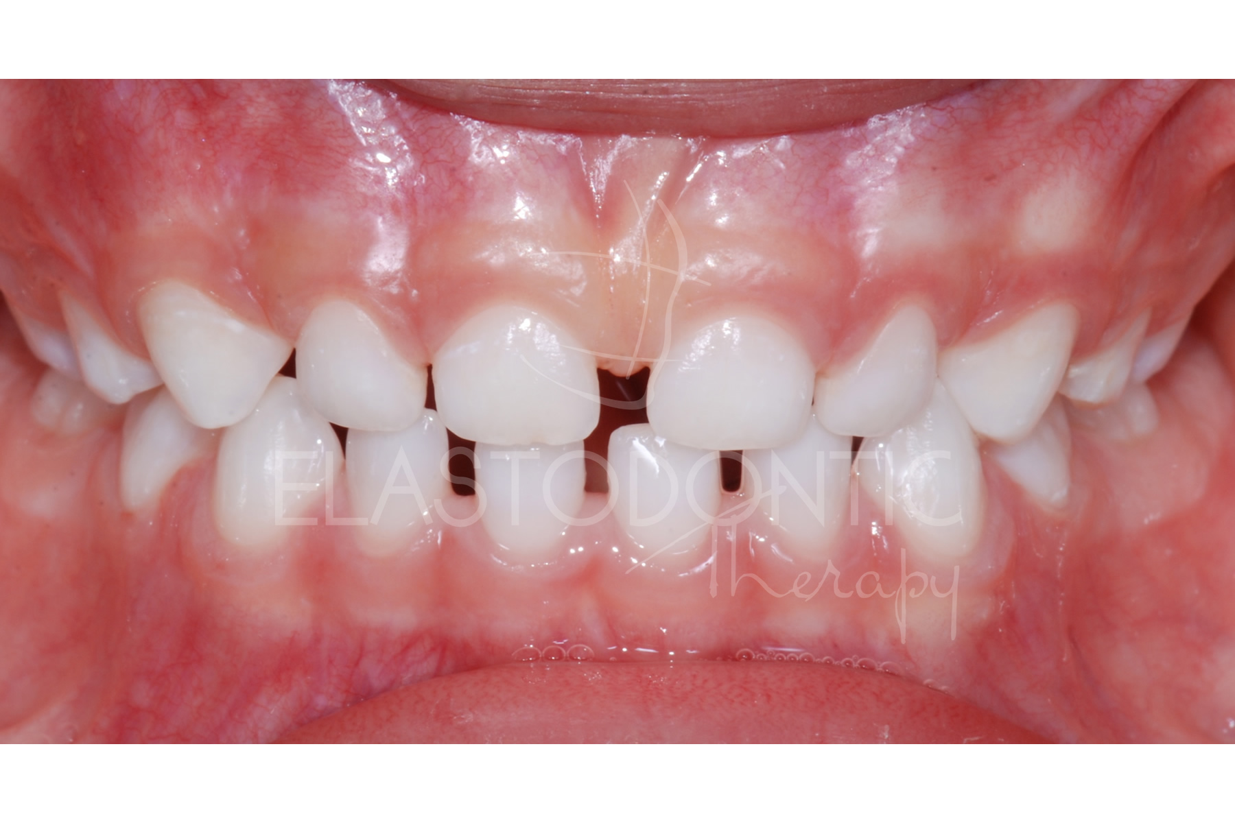
L'Elastodontic Therapy® attraverso dispositivi poco invasivi, risulta determinate per correggere in soli 6 mesi un deficit scheletrico che sarebbe soltanto peggiorato durante la crescita .
Questa malocclusione va trattata assolutamente il prima possibile con un approccio miniinvasivo ealstodontico in quanto la mancata terapia porterebbe a problemi funzionali derivati dalla perdita del sigillo labiale anteriore e della competenza labiale . La deglutizione diventa atipica poiché il soggetto è alla continua ricerca del sigillo labiale anteriore e tutto questo determina deficit fonetici ed alterazioni dell'espressione del bambino .





