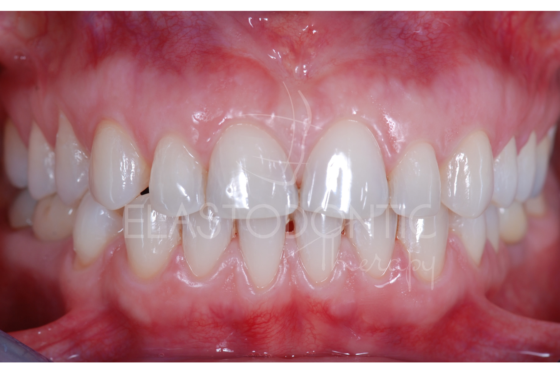
Discrepanza Dento-basale ( diastema interincisivo )
Paziente di anni 29
L'arcata superiore è caratterizzata da un notevole spazio interincisivo, frenulo labiale superiore corto.
L' Elastodontic Therapy® consente in 12 mesi di ottenere un ottimo rapporto interocclusale, rispettando al massimo la biologia dei tessuti e soprattutto salvaguardando gli elementi dentali della paziente.



