Anomalie nella crescita dei denti
Anomalie di eruzione
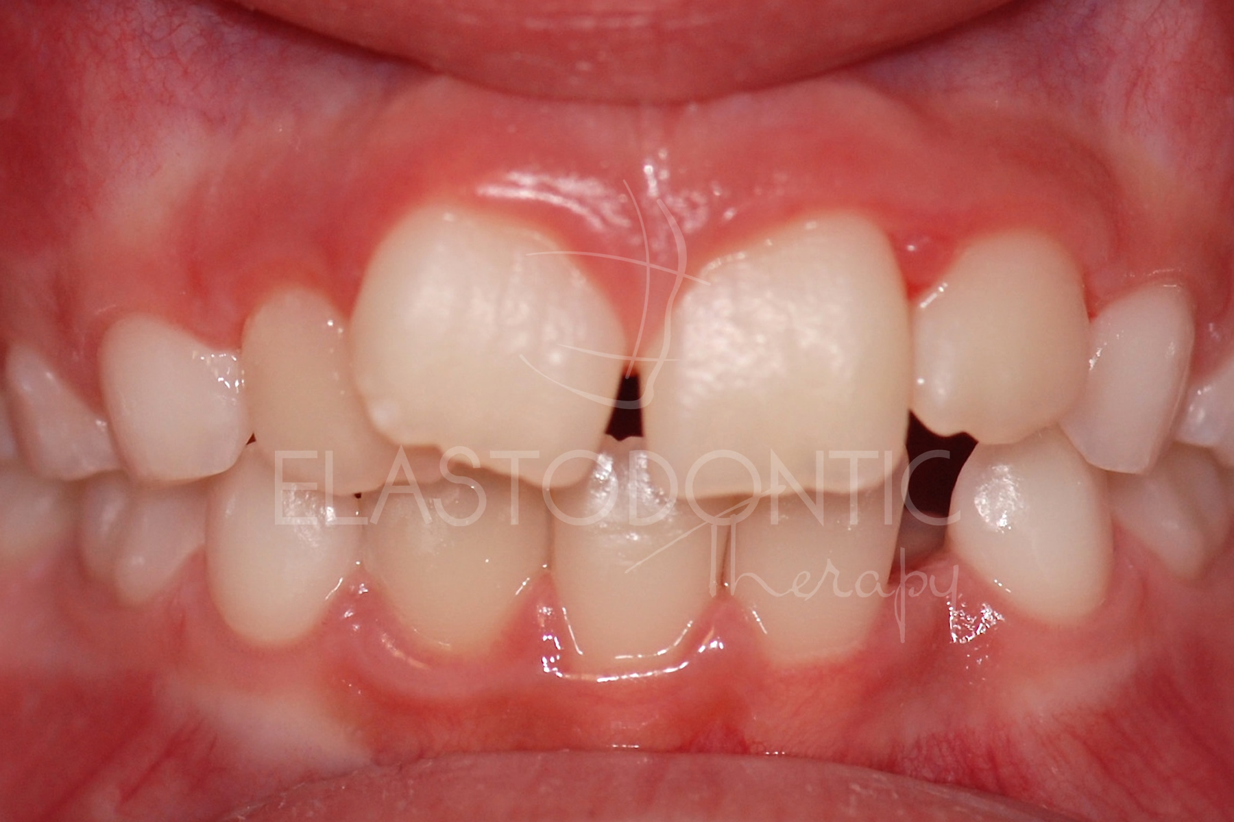
Paziente di 9 anni.
Affollamento grave arcata inferiore.
Linea mediana interincisiva spostata a Sx.
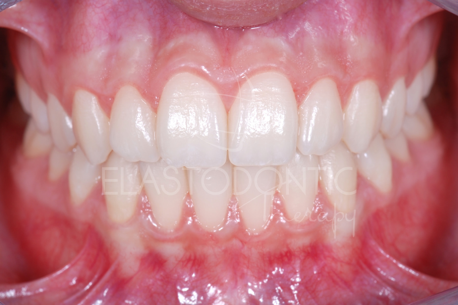
L'ElastodonticTherapy® iniziata all'età di 9 anni, ha permesso di correggere la malocclusione in pochissimi mesi con l'ausilio di un SOLO apparecchio elastodontico e cosa importante senza ricorrere ad estrazioni che avrebbero compromesso il risultato estetico della terapia.
La stabilità nel tempo è garantita dal raggiungimento di un ottimo rapporto occlusale fisiologico e biologicamente determinato.




