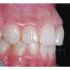
Denti sporgenti e sorriso gengivale
Paziente di 12 anni
Sporgenza dei denti anteriori, mento retruso , sorriso gengivale.
La sporgenza dei denti anteriori non trattata fino ai 12 anni ha determinato la frattura dell'incisivo centrale superiore di Sx , tipica problematica riscontrabile in queste malocclusioni.
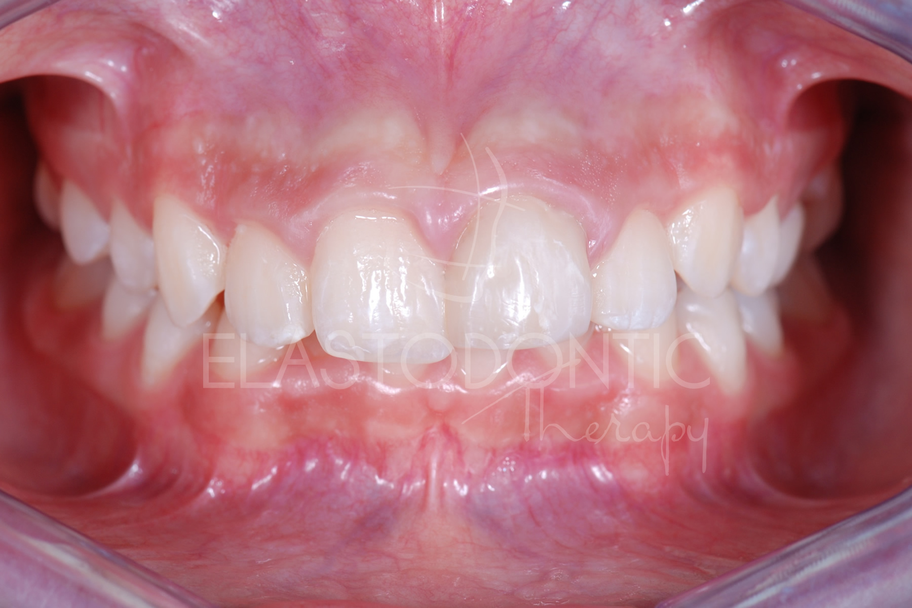
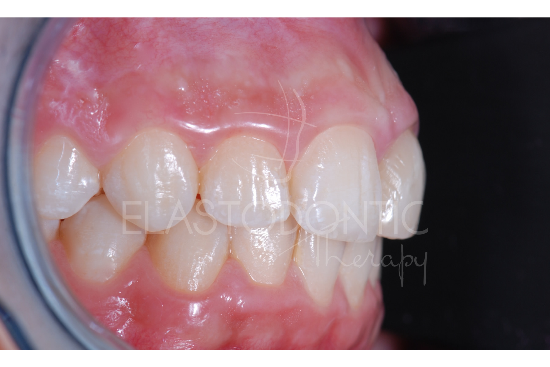
L'Elastodontic Therapy® iniziata all'età di 12 anni , ha permesso di correggere la malocclusione in pochissimi mesi con l'ausilio di un SOLO apparecchio elastodontico e cosa importante senza ricorrere ad estrazioni che avrebbero compromesso il risultato estetico della terapia.
Il risultato ottenuto ha permesso di migliorare nettamente il sorriso del paziente e di aumentare la sua autostima.
La stabilità nel tempo è garantita dal raggiungimento di un ottimo rapporto occlusale fisiologico e biologicamente determinato.








